Advertisement intended for health care professionals

View by Grid View   List View
Sort by
Total records: 6,591
To download multiple images please select individual images and then click on download images link (max 12 images can be selected).
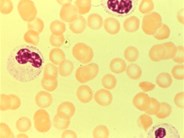
  • On a WHIM
    Charles M. van Sl...
    Warts, Hypogammag...
Next

Advertisement intended for health care professionals