Advertisement intended for health care professionals

l

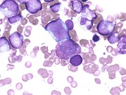
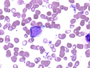
Relapsed accelerated CML – T315I mutation - 2.

Relapsed accelerated CML – T315I mutation - 2.
#00001055
Author: Peter Maslak
Category: Myeloid Neoplasms and acute leukemia (WHO 2016) > Myeloproliferative Neoplasms (MPN) > Chronic Myelogenous Leukemia (CML), BCR-ABL1+
Published Date: 03/01/2010

Circulating basophils were elevated and found to be >20%; of the white cells.


Advertisement intended for health care professionals