Advertisement intended for health care professionals

l

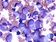
Left shifted myelopoiesis with toxic granulation - 1.

Left shifted myelopoiesis with toxic granulation - 1.
#00001064
Author: Peter Maslak
Category: Laboratory Hematology > Non-hematopoietic malignancies involving the blood or bone marrow > Metastatic Neuroblastoma
Published Date: 03/01/2010

Left shifted myleopoiesis with toxic granulation is noted as part of a reactive process in this bone marrow aspirate from a child with neuroblastoma. No tumor was detected in the marrow.


Advertisement intended for health care professionals