Advertisement intended for health care professionals

l

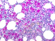
Mott cells - 6.

Mott cells - 6.
#00001111
Author: Hach Turyan; John Lazarchick;
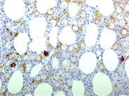
Category: Lymphoma: Mature B-cell and Plasma cell Neoplasms > Low-grade B-cell lymphoma > Nodal Marginal Zone Lymphoma
Published Date: 06/01/2010

The cells show lambda light chain restriction on immunohistochemical staining.


Advertisement intended for health care professionals