Advertisement intended for health care professionals

l

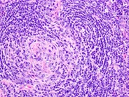
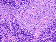
Castleman disease - 4.

Castleman disease - 4.
#00001192
Author: John Lazarchick; Brian Davis;
Category: Reactive Marrow > Atypical lymphoproliferative disorders
Published Date: 12/01/2010

This germinal center is completely void of lymphocytes and has been replaced by a hyalinized vessel.


Advertisement intended for health care professionals