Advertisement intended for health care professionals

l

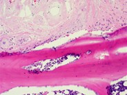
Amyloidosis - 5.

Amyloidosis - 5.
#00001208
Author: John Lazarchick
Category: Lymphoma: Mature B-cell and Plasma cell Neoplasms > Plasma Cell Neoplasm
Published Date: 12/01/2010

The plasma cells were lambda light chain restricted as shown on in situ hybridization immunohistochemical staining.


Advertisement intended for health care professionals