Advertisement intended for health care professionals

l

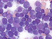
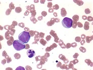
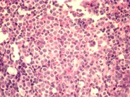
AML with maturation - 3.

AML with maturation - 3.
#00001237
Author: Peter Maslak
Category: Myeloid Neoplasms and acute leukemia (WHO 2016) > Acute Myeloid Leukemia > AML not otherwise specified > AML with maturation
Published Date: 12/01/2010

The aspirate is hypercellular with a monomorphic population of cells.


Advertisement intended for health care professionals