Advertisement intended for health care professionals

l

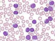
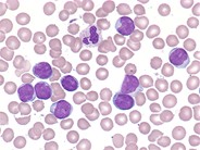
T-PLL - 1.

T-PLL - 1.
#00001274
Author: Peter Maslak
Category: Myeloid Neoplasms and acute leukemia (WHO 2016) > Precursor Lymphoid Neoplasms > T-lymphoblastic leukemia/lymphoma
Published Date: 12/01/2010

Mononuclear white cells are increased in the peripheral blood.


Advertisement intended for health care professionals