Advertisement intended for health care professionals

l

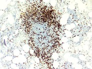
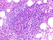
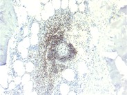
Bone marrow germinal center - 1.

Bone marrow germinal center - 1.
#00001302
Author: John Lazarchick
Category: Laboratory Hematology > Normal and reactive bone marow
Published Date: 12/01/2010

Bone marrow biopsy was performed to stage a patient newly diagnosed with diffuse large B-cell lymphoma. The lymphoid nodule noted had the appearance of a germinal center with a blood vessel evident in the center.


Advertisement intended for health care professionals