Advertisement intended for health care professionals

l

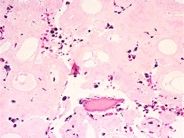
Amyloidosis: Acquired Factor X Deficiency - 8.

Amyloidosis: Acquired Factor X Deficiency - 8.
#00001334
Author: John Lazarchick
Category: Lymphoma: Mature B-cell and Plasma cell Neoplasms > Plasma Cell Neoplasm
Published Date: 09/27/2011

Bone marrow biopsy showing infiltration of a blood vessel with amyloid protein and similar appearing infiltrate in the marrow interstitial areas.


Advertisement intended for health care professionals