Advertisement intended for health care professionals

l

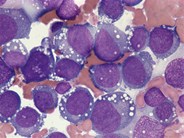
Pure erythroid leukemia

Pure erythroid leukemia
#00013496
Author: Peter Maslak
Category: Myeloid Neoplasms and acute leukemia (WHO 2016) > Acute Myeloid Leukemia > AML not otherwise specified > Acute erythroid leukemia
Published Date: 08/31/2012

The marrow aspirate is replaced by poorly differentiated erythroid elements.


Advertisement intended for health care professionals