Advertisement intended for health care professionals

l

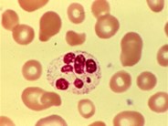
Hypersegmented poly in PA

Hypersegmented poly in PA
#00016885
Author: Teaching collection of Vicky Smith
Category: Red Cell: Other Disorders > Megaloblastic Anemia
Published Date: 03/20/2013

Hypersegmented neutrophils have five or more lobes. Hypersegmented neutrophils can also occur in renal failure, iron deficiency, or as a familial trait.


Advertisement intended for health care professionals