Advertisement intended for health care professionals

l

Paraneoplastic hypercalcemia in Diffuse Large B-Cell NHL - 8.

Paraneoplastic hypercalcemia in Diffuse Large B-Cell NHL - 8.
#00001811
Author: John Lazarchick
Category: Lymphoma: Mature B-cell and Plasma cell Neoplasms > Large B-cell lymphomas (not Richter transformation) > Diffuse Large B-cell Lymphoma, not otherwise specified
Published Date: 10/17/2002

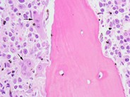
Higher power view of the same marrow biopsy reveals a large cell infiltrate with prominent nucleoli and abundant cytoplasm. Both immunoblastic and plasmablastic features are present.


Advertisement intended for health care professionals