Advertisement intended for health care professionals

l

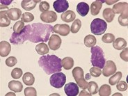
CLL - mixed cell type

CLL - mixed cell type
#00019394
Author: Peter Maslak
Category: Lymphoma: Mature B-cell and Plasma cell Neoplasms > Low-grade B-cell lymphoma > Chronic Lymphocytic Leukemia/Small Lymphocytic Lymphoma
Published Date: 06/17/2013

Large lymphocytes appear atypical with basophilic cytoplasm and a more open chromatin pattern.


Advertisement intended for health care professionals