Advertisement intended for health care professionals

l

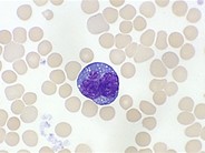
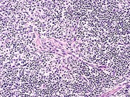
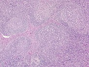
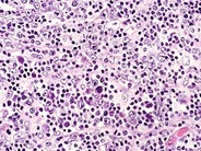
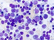
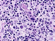
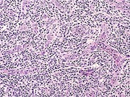
Angioimmunoblastic T Cell Lymphoma - 12.

Angioimmunoblastic T Cell Lymphoma - 12.
#00001952
Author: Marshall Kadin
Category: Lymphoma: Mature T and NK cell lymphoproliferations > Mature T-cell Lymphomas > Angioimmunoblastic T-cell Lymphoma and other follicular helper T-cell nodal lymphomas
Published Date: 03/20/2003

CD20 stain in pattern I, low power (1995).


Advertisement intended for health care professionals