Advertisement intended for health care professionals

l

Eosinophilic Precursors - 3.

Eosinophilic Precursors - 3.
#00001967
Author: Peter Maslak
Category: Laboratory Hematology > Basic cell morphology > Morphologic variants of white blood cells
Published Date: 09/27/2011

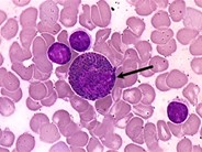
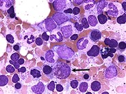
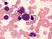
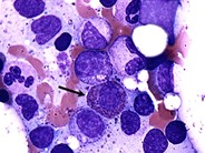
Bone marrow aspirate shows an eosinophilic myelocyte with prominent granules (arrow).


Advertisement intended for health care professionals