Advertisement intended for health care professionals

l

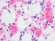
Aplastic Crisis in a Patient with Sickle Cell Disease - 1.

Aplastic Crisis in a Patient with Sickle Cell Disease - 1.
#00001980
Author: John Lazarchick
Category: Red Cell: Hemoglobin disorder
Published Date: 04/01/2003

Numerous sickled RBC's are present (small arrows). A single nucleated RBC is noted (large arrow). Of note is the absence of polychromasia.


Advertisement intended for health care professionals