Advertisement intended for health care professionals

l

Autoimmune Lymphoproliferative Syndrome - 5.

Autoimmune Lymphoproliferative Syndrome - 5.
#00002125
Author: Parul Bhargava
Category: Primary Immunodeficiency (PID) > Other immunodeficiencies > Autoimmune Lymphoproliferative Syndrome (ALPS)
Published Date: 09/27/2011

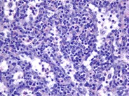
APLS, Spleen,  CD4 stain on a spleen from a patient with ALPS showing that many of the CD3 positive T cells (center of image) are negative for CD4.


Advertisement intended for health care professionals