Advertisement intended for health care professionals

l

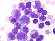
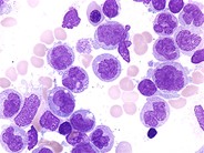
Chronic Myelomonocytic Leukemia - 2.

Chronic Myelomonocytic Leukemia - 2.
#00002149
Author: Peter Maslak
Category: Myeloid Neoplasms and acute leukemia (WHO 2016) > Myelodysplastic/myeloproliferative neoplasms (MDS/MPN) > Chronic Myelomonocytic Leukemia
Published Date: 10/06/2003

Abnormal promonocytes and monocytes predominate in the bone marrow.


Advertisement intended for health care professionals