Advertisement intended for health care professionals

l

Eosinophilia - 1.

Eosinophilia - 1.
#00002253
Author: Peter Maslak
Category: Laboratory Hematology > Basic cell morphology > Morphologic variants of white blood cells
Published Date: 09/27/2011

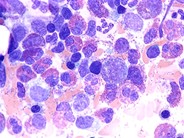
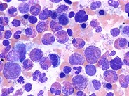
Low power view of this bone marrow aspirate from a patient with a history of mast cell leukemia who was treated with chemotherapy. Blasts are not increased but increased eosinophils are noted.


Advertisement intended for health care professionals