Advertisement intended for health care professionals

l

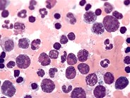
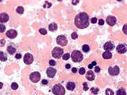
Idiopathic Hypereosinophilic Syndrome - 1.

Idiopathic Hypereosinophilic Syndrome - 1.
#00002503
Author: Peter Maslak
Category: Myeloid Disorders
Published Date: 03/28/2004

Bone marrow is hypercellular with an increase in eosinophils and eosinophilic precursors.


Advertisement intended for health care professionals