Advertisement intended for health care professionals

l

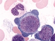
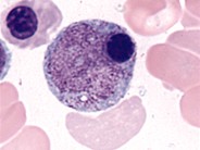
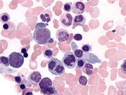
Hypocellular MDS - 1.

Hypocellular MDS - 1.
#00002567
Author: Peter Maslak
Category: Myeloid Neoplasms and acute leukemia (WHO 2016) > Myelodysplastic Syndromes (MDS) > MDS with single lineage dysplasia
Published Date: 05/19/2004

Aspirate is markedly hypocellular with spicules that are almost devoid of hematopoietic elements.


Advertisement intended for health care professionals