Advertisement intended for health care professionals

l

Gaucher's Disease - 2.

Gaucher's Disease - 2.
#00002709
Author: John Lazarchick
Category: Myeloid Disorders > Lysosomal storage disorders > Gaucher
Published Date: 10/29/2012

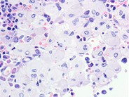
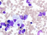
Marrow aspirate of a 15 month old child with a history of hypertonicity, aspiration pneumonia and hepatosplenomegaly. A high power view of the cells illustrates the benign-appearing nuclei and the "crumpled tissue paper" appearance of the cytoplasm.


Advertisement intended for health care professionals