Advertisement intended for health care professionals

l

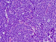
Myeloid Sarcoma -1

Myeloid Sarcoma -1
#00027898
Author: Elizabeth Courville
Category: Myeloid Neoplasms and acute leukemia (WHO 2016) > Acute Myeloid Leukemia > Myeloid sarcoma
Published Date: 05/01/2014

60 year old woman with a history of a chronic myeloid neoplasm, not further classifiable, presents with a skin nodule on her trunk

Advertisement intended for health care professionals