Advertisement intended for health care professionals

l

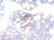
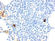
Rituximab-Associated Marrow T-cell Hyperplasia - 3.

Rituximab-Associated Marrow T-cell Hyperplasia - 3.
#00002791
Author: John Lazarchick
Category: Laboratory Hematology > Special hematology tests
Published Date: 09/07/2004

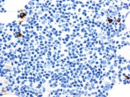
A CD20 (L26)immunostain for the presence of B-cells shows only a rare positive cell to be present.


Advertisement intended for health care professionals