Advertisement intended for health care professionals

l

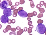
Acute Myelomonocytic Leukemia - 2.

Acute Myelomonocytic Leukemia - 2.
#00002805
Author: Peter Maslak
Category: Myeloid Neoplasms and acute leukemia (WHO 2016) > Acute Myeloid Leukemia > AML not otherwise specified > Acute myelomonocytic leukemia
Published Date: 09/07/2004

The lineage of the blasts may be difficult to assess based solely on morphology.

Advertisement intended for health care professionals