Advertisement intended for health care professionals

l

Atypical Chronic Myeloid Leukemia

Atypical Chronic Myeloid Leukemia
#00028477
Author: Tracy George and Devon Chabot-Richards
Category: Myeloid Neoplasms and acute leukemia (WHO 2016) > Myelodysplastic/myeloproliferative neoplasms (MDS/MPN) > Atypical Chronic Myeloid Leukemia (aCML), BCR-ABL1 negative
Published Date: 05/19/2014

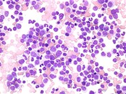
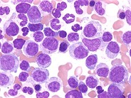
Atypical chronic myeloid leukemia (aCML) is a heterogeneous disorder belonging to the group of myelodysplastic/myeloproliferative (MDS/MPN) syndromes. In aCML many clinical features (splenomegaly, myeloid predominance in the bone marrow but with dysplastic features without the pathognomonic Philadelphia chromosome . SETBP1 was identified as a novel oncogene in aCML.Activating mutations in the gene encoding the receptor for colony-stimulating factor 3 (CSF3R) have been found in patients with atypical CML.

Advertisement intended for health care professionals