Advertisement intended for health care professionals

l

Marrow Changes in Renal Osteodystrophy - 5.

Marrow Changes in Renal Osteodystrophy - 5.
#00002950
Author: John Lazarchick
Category: Red Cell: Other Disorders > Bone/metabolic disease > Anemia of renal osteodystrophy
Published Date: 09/23/2011

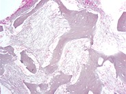
In this high power view two osteoclasts are noted in the left center of the image. Note the scalloping of the trabeculae and the presence of osteoblasts lining the trabecular borders. (H&E 40x)


Advertisement intended for health care professionals