Advertisement intended for health care professionals

l

Kostmann's Syndrome - 1.

Kostmann's Syndrome - 1.
#00002957
Author: John Lazarchick
Category: Myeloid Disorders > Congenital Neutropenia syndromes
Published Date: 02/14/2005

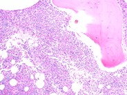
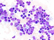
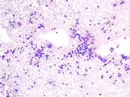
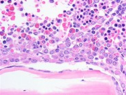
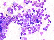
The patient is a 10 month old Caucasian male with a history of recurrent upper respiratory infections and otitis media since birth. His CBC at this time included a H/H of 10.9g/dl/32.4%, platelet count of 280,000/ul and a WBC of 3840/ul with a differential of 25% monocytes, 70% lymphocytes, 4% eosinphils, 1% basophils and 1% neutrophils. His ANC was 38/ul. After an extensive evaluation he was diagnosed as having congenital neutropenia consistent with Kostmann's syndrome. The peripheral smear confirmed the leukopenia and almost complete absence of neuutrophils. A single hyposegmented PMN can be seen in this view.


Advertisement intended for health care professionals