Advertisement intended for health care professionals

l

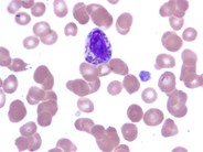
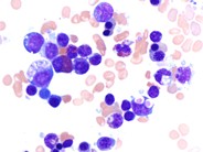
Chediak-Higashi Syndrome - 10.

Chediak-Higashi Syndrome - 10.
#00002980
Author: John Lazarchick; Bart McRae;
Category: Primary Immunodeficiency (PID) > Other immunodeficiencies > Immunodeficiency with Albinism > Chediak-Higashi Syndrome
Published Date: 02/23/2005

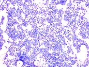
A low power view of the biopsy shows it to be approximately 90% cellular


Advertisement intended for health care professionals