Advertisement intended for health care professionals

l

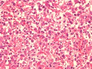
Primary Cutaneous Anaplastic Large Cell Lymphoma - 2.

Primary Cutaneous Anaplastic Large Cell Lymphoma - 2.
#00003012
Author: Marshall Kadin
Category: Lymphoma: Mature T and NK cell lymphoproliferations > Cutaneous T-cell Lymphoma > Primary Cutaneous CD30-positive T-cell Lymphoproliferative disorders
Published Date: 03/09/2005

Skin biopsy at higher magnification revealing cytology of anaplastic lymphocytes with abundant eosinophilic cytoplasm, irregular nuclei (some horseshoe- or ring- shaped), and prominent eosinophilic nucleoli.


Advertisement intended for health care professionals