Advertisement intended for health care professionals

l

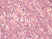
Anaplastic Large Cell Lymphoma - 2.

Anaplastic Large Cell Lymphoma - 2.
#00003015
Author: Mark Lones
Category: Lymphoma: Mature T and NK cell lymphoproliferations > Mature T-cell Lymphomas > Anaplastic Large Cell Lymphoma, ALK positive
Published Date: 10/31/2011

This testicular lymphoma has many anaplastic cells including multinucleated cells typical of anaplastic large cell lymphoma. There are also many apoptotic bodies indicating cell death. Extranodal sites of presentation, e.g. the testis, are common (40%) in patients with anaplastic large cell lymphoma. The tumor cells in this example express CD30 and T-cell antigen CD3, and are negative for B-cell antigen CD20. The differential diagnosis would include anaplastic germ cell tumor of the testis but immunohistochemistry is supports the diagnosis of anaplastic large cell lymphoma.


Advertisement intended for health care professionals