Advertisement intended for health care professionals

l

Shwachman-Diamond Syndrome - 2.

Shwachman-Diamond Syndrome - 2.
#00003019
Author: Peter Maslak
Category: Myeloid Disorders > Congenital Neutropenia syndromes
Published Date: 10/29/2012

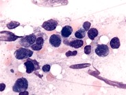
Myeloid maturational arrest may be seen inShwachman-Diamond Syndrome.


Advertisement intended for health care professionals