Advertisement intended for health care professionals

l

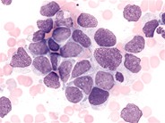
Retinoblastoma - 2.

Retinoblastoma - 2.
#00003023
Author: Peter Maslak
Category: Laboratory Hematology > Non-hematopoietic malignancies involving the blood or bone marrow
Published Date: 09/28/2011

Tumor cells may occur as single cells or "clumps" of cells.


Advertisement intended for health care professionals