Advertisement intended for health care professionals

l

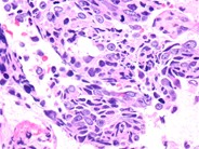
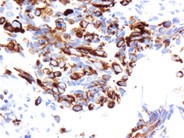
Metastatic Prostatic Carcinoma - 4.

Metastatic Prostatic Carcinoma - 4.
#00003043
Author: John Lazarchick
Category: Laboratory Hematology > Non-hematopoietic malignancies involving the blood or bone marrow
Published Date: 09/28/2011

In this group molding of the cells is more apparent. Prominent nucleoli are also evident. There is a suggestion of gland formation in the lower area of the cellular group.


Advertisement intended for health care professionals