Advertisement intended for health care professionals

l

Hemoglobin S/HPFH - 4.

Hemoglobin S/HPFH - 4.
#00003059
Author: John Lazarchick
Category: Red Cell: Hemoglobin disorder
Published Date: 11/17/2013

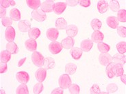
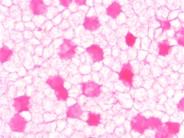
A low power view of the patient's Kleihauer-Betke stain is shown. Even at this magnification there appears to be a homogeneous stain throughout the RBC population. The darkly pink staining RBCs are the fetal RBCs which contain >80% hemoglobin F.


Advertisement intended for health care professionals