Advertisement intended for health care professionals

l

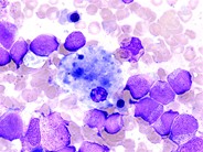
APL in Niemann-Pick Disease - 1.

APL in Niemann-Pick Disease - 1.
#00003183
Author: Peter Maslak
Category: Myeloid Disorders > Lysosomal storage disorders
Published Date: 06/01/2006

One type of Niemann-Pick histiocyte with large gray-blue granules.


Advertisement intended for health care professionals