Advertisement intended for health care professionals

l

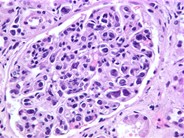
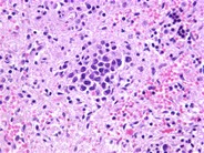
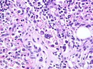
Intravascular Large Cell Lymphoma - 2.

Intravascular Large Cell Lymphoma - 2.
#00003208
Author: Anthony Martyniak
Category: Lymphoma: Mature B-cell and Plasma cell Neoplasms > Large B-cell lymphomas (not Richter transformation) > Intravascular large B-cell lymphoma
Published Date: 07/01/2006

The lymphoma cells are large with irregular nuclear contours, clumped chromatin, and prominent nucleoli. These cells were immunoreactive for pan B-cell markers CD20 and CD79a.


Advertisement intended for health care professionals