Advertisement intended for health care professionals

l

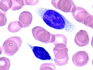
Splenic Marginal Zone Lymphoma With Villous Lymphocytes – Peripheral Blood - 3.

Splenic Marginal Zone Lymphoma With Villous Lymphocytes – Peripheral Blood - 3.
#00003299
Author: Peter Maslak
Category: Lymphoma: Mature B-cell and Plasma cell Neoplasms > Splenic lymphomas > Splenic Marginal Zone Lymphoma
Published Date: 07/01/2007

A high power view shows the chromatin pattern characteristic of lymphoid cells accompanied by polar villi.


Advertisement intended for health care professionals