Advertisement intended for health care professionals

l

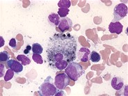
Debris laden histiocytes - 4.

Debris laden histiocytes - 4.
#00003457
Author: Peter Maslak
Category: Laboratory Hematology > Basic cell morphology > Morphologic variants of white blood cells
Published Date: 09/28/2011

Histiocytes may phagocytize other cells.


Advertisement intended for health care professionals