Advertisement intended for health care professionals

l

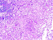
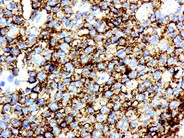
Langerhans cell histiocytosis - 3.

Langerhans cell histiocytosis - 3.
#00003462
Author: John Lazarchick
Category: Macrophage/Histiocytic and dendritic cell Neoplasms and disorders (2015) > L group > Langerhans cell histiocytosis (LCH)
Published Date: 09/28/2011

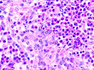
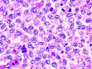
The variation in nuclear contours of these cells is more evident in this view of the lesion. Classic "kidney bean" nuclei of Langerhans cells with a central groove are present.


Advertisement intended for health care professionals