Advertisement intended for health care professionals

l

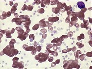
AML with t(3;3)-peripheral blood - 1.

AML with t(3;3)-peripheral blood - 1.
#00003514
Author: Peter Maslak
Category: Myeloid Neoplasms and acute leukemia (WHO 2016) > Acute Myeloid Leukemia > Acute Myeloid Leukemia with recurrent genetic abnormalities > AML with inv(3)(q21q26.2) or t(3;3)(q21;q26.2); GATA2, MECOM
Published Date: 04/01/2008

Peripheral smear from a patient with AML t(3;3). Patients with this form of AML may present with thrombocytosis.


Advertisement intended for health care professionals