Advertisement intended for health care professionals

l

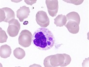
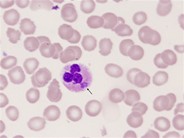
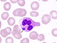
Ehrlichiosis - 3.

Ehrlichiosis - 3.
#00003616
Author: John Lazarchick; Ginell Post;
Category: Infectious Disease > Bacteria > Ehrlichia
Published Date: 10/01/2008

Both neutrophils in this view have Ehrlicia inclusions.


Advertisement intended for health care professionals