Advertisement intended for health care professionals

l

Toxoplasmosis - 1.

Toxoplasmosis - 1.
#00003693
Author: John Lazarchick
Category: Infectious Disease > Parasites > Toxoplasmosis
Published Date: 09/28/2011

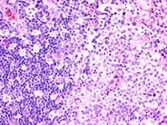
Toxoplasmosis is a common parasitic infection which is usually asymptomatic. Symptoms, when present, are typically those of a flu-like illness with fever, muscle aches, and swollen, tender lymph nodes. Histologically, the involved nodes show follicular hyperplasia and diffuse proliferation of epitheliod histiocytes. The image shown illustrates the follicular hyperplasia and expansion of the interfollicular area by pale appearing cells.


Advertisement intended for health care professionals