Advertisement intended for health care professionals

l

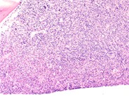
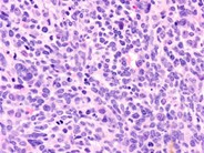
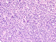
Recurrent AML following peripheral stem cell transplant - 7.

Recurrent AML following peripheral stem cell transplant - 7.
#00003707
Author: Aly Bourreza; John Lazarchick;
Category: Stem Cell Transplantation > Other transplantation related complications
Published Date: 10/01/2008

An immunohistochemical myeloperoxidase stain is shown. The leukemic blasts are negative; however, the area of normal hematopoiesis shows numerous myeloid lineage cells.


Advertisement intended for health care professionals