Advertisement intended for health care professionals

l

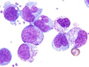
Pheresis collection post G-CSF therapy - 2.

Pheresis collection post G-CSF therapy - 2.
#00003752
Author: John Lazarchick
Category: Reactive Marrow > Therapy effects
Published Date: 09/28/2011

Myeloid cells at all stages of differentiation (blast to band forms) are shown in this image. Of note is the hypergranularity of the cytoplasm in the more differentiated forms. The granules have a distinct violaceous hue that is characteristic of G-CSF therapy. In addition, there are immature forms present that have the morphologic appearance suggesting monocytic lineage with cytoplasmic vacuolization and irregular nuclear borders.


Advertisement intended for health care professionals