Advertisement intended for health care professionals

l

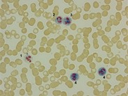
Leukocyte alkaline phosphatase (LAP)scoring - 4.

Leukocyte alkaline phosphatase (LAP)scoring - 4.
#00003965
Author: John Lazarchick
Category: Laboratory Hematology > Special hematology tests > Leukocyte alkaline phosphatase score
Published Date: 09/28/2011

The PMN in the upper right would be scored as 0. The PMN in the lower left would be scored as 1.


Advertisement intended for health care professionals