Advertisement intended for health care professionals

l

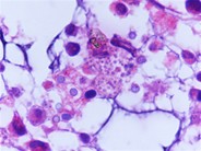
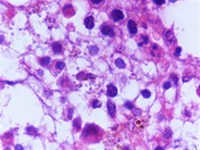
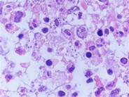
Leishman donovani (LD) bodies in bone marrow biopsy of an adult male with HIV infection - 1.

Leishman donovani (LD) bodies in bone marrow biopsy of an adult male with HIV infection - 1.
#00003994
Author: Abbas Hashim; Fatin Al-Yassin;
Category: Underproduction Anemias > Acquired aplastic anemia > Viruses (ALSO LINK TO INFECTIOUS DISEASE SECTION)
Published Date: 11/01/2009

Leishman donovani (LD) bodies in bone marrow biopsy of adult male with AIDS.


Advertisement intended for health care professionals