Advertisement intended for health care professionals

l

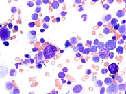
Systemic mastocytosis - 7.

Systemic mastocytosis - 7.
#00004058
Author: John Lazarchick
Category: Myeloid Neoplasms and acute leukemia (WHO 2016) > Mastocytosis
Published Date: 11/01/2009

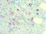
CD117 immunostain highlight the mast cell component in the infiltrate.


Advertisement intended for health care professionals