Advertisement intended for health care professionals

l

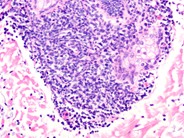
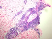
T-prolymphocytic leukemia cutis - 1.

T-prolymphocytic leukemia cutis - 1.
#00004060
Author: John Lazarchick
Category: Lymphoma: Mature T and NK cell lymphoproliferations > Mature T-cell Leukemias > T cell Prolymphocytic Leukemia
Published Date: 11/01/2009

Low-magnification view of skin biopsy from a patient with a diagnosis of T-PLL. There are both perivascular and diffuse dermal infiltrates without epidermatotrophism.


Advertisement intended for health care professionals